Çocuk ortopedisi, çocuk deformiteleri ve ender çocuk kemik hastalıkları: Çocukluk çağında oluşan deformiteler konjenital yani doğumsal veya gelişimsel olabilmektedirler. Tibial hemimeli, fibular hemimeli proksimal fokal femoral eksiklik ve konjenital tibia psödoartrozu ender hastalıklardır. Tedavileri sabır ve deneyim gerektiren bu hastalıklar için erken yaşlardan başlayan planlama ve takip gerekir. bunlar dışında kısalıklar ve ayak deformiteleride çocukluk çağında deneyim isteyen cerrahiler gerektirebilir.






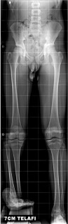
Tip 2 tibial hemimeli nedeni ile 13 yaşına kadar tedavi almamış hastaya uzaysal fiksatörle deformite düzeltme ve sonrasında da ayak bileği artrodezi uygulandı. Hasta plantigrade (düz ) basar hale getirildi.